Χαρακτηριστικά Περιστατικά
Ουραία παγκρεατεκτομή, αριστερή ηπατεκτομή, άτυπες δεξιές ηπατεκτομές και εστιακές καταστροφές με μικροκύματα για παγκρεατικό νευροενδοκρινές καρκίνωμα με πολλαπλές ηπατικές μεταστάσεις
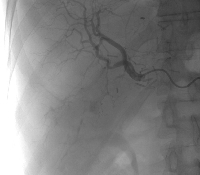
Πρόκειται για άνδρα ασθενή 58 ετών, ο οποίος υποβλήθηκε σε αξονική τομογραφία για επιγαστραλγία. Διαπιστώθηκε μάζα στην ουρά του παγκρέατος μεγέθους 5 εκατοστών, καθώς και πολλαπλές (περίπου 50) ηπατικές μεταστάσεις (εικόνες 1, 2). Βιοψία μίας από τις ηπατικές μάζες ανέδειξε νευροενδοκρινές καρκίνωμα καλής διαφοροποίησης. Ο ασθενής υποβλήθηκε σε ουραία παγκρεατεκτομή με σπληνεκτομή (εικόνα 3), αριστερή ηπατεκτομή μετά του 1ου τμήματος (εικόνα 4), τέσσερεις άτυπες δεξιές ηπατεκτομές και πολλαπλές κατευθυνόμενες (IOUS) εστιακές καταστροφές με μικροκύματα (εικόνα 5). Ογκομετρική αξονική την 7η μετεγχειρητική ημέρα ανέδειξε μείωση του μεταστατικού φορτίου σε ποσοστό > 90%. Κατόπιν, την 6η και 10η μετεγχειρητική εβδομάδα, ο ασθενής υποβλήθηκε σε διαδοχικούς υπερεκλεκτικούς (πρόσθιο και οπίσθιο) εμβολισμούς της δεξιάς ηπατικής αρτηρίας (εικόνα 6, απεικόνιση του πρόσθιου μετά από εμβολισμό του οπίσθιου τομεϊκού δεξιού αρτηριακού κλάδου). Οctreotide-scan τη 12η μετεγχειρητική εβδομάδα ανέδειξε απουσία ενεργών νευροενδοκρινών εστιών. Ο ασθενής λαμβάνει Sandostatin LAR εφ' όρου ζωής.
