Χαρακτηριστικά Περιστατικά
Δεξιά εκτεταμμένη ηπατεκτομή για συμπτωματική εστιακή οζώδη υπερπλασία
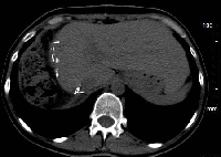
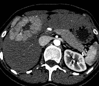
Πρόκειται για γυναίκα ασθενή 32 ετών, η οποία υποβλήθηκε σε αξονική τομογραφία για άτυπα γαστρεντερικά συμπτώματα και άνοδο των ηπατικών ενζύμων. Διαπιστώθηκε συμπαγής μάζα του ήπατος, η οποία εντοπίζονταν τόσο στο δεξιό (τμήματα 5 και 8) όσο και στον αριστερό (τμήμα 4) λοβό. Η ηπατική ογκομέτρηση ανέδειξε ότι τα τμήματα 1, 2 και 3 αποτελούσαν το 30% του συνολικού όγκου του οργάνου (εικόνες 1, 2). Υποβλήθηκε σε δεξιά εκτεταμμένη ηπατεκτομή (εικόνα 3). Στο παρασκεύασμα φαίνεται η μάζα. To μέγεθός της ανέρχεται σε 8 εκατοστά (εικόνα 4). Σε οβελιαία τομή, διακρίνεται η χαρακτηριστική κεντρική ουλή της εστιακής οζώδους υπερπλασίας (εικόνα 5). Ο σχετικός όγκος του υπολοιπόμενου ήπατος ανήλθε στο 64%, ένα μήνα μετά την ηπατεκτομή (εικόνα 6). Η ασθενής είναι ελεύθερη συμπτωμάτων.
