Χαρακτηριστικά Περιστατικά
Δεξιά ηπατεκτομή για μεταστατικό καρκίνο του ήπατος από το παχύ έντερο
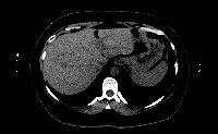
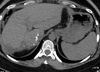
Πρόκειται για γυναίκα ασθενή 47 ετών, η οποία υποβλήθηκε σε κολονοσκόπηση για άτυπα γαστρεντερικά συμπτώματα. Διαπιστώθηκε αδενοκαρκίνωμα σιγμοειδούς με δύο σύγχρονες μεταστατικές εστίες στο δεξιό λοβό του ήπατος (εικόνα 1). Ακολούθησε σιγμοειδεκτομή. Έλαβε 12 κύκλους χημειοθεραπείας με Avastin και FOLFOX. Κατόπιν υποβλήθηκε σε δεξιά ηπατεκτομή (εικόνα 2). Στο παρασκεύασμα φαίνονται οι δύο μεταστατικές εστίες, η μεγαλύτερη εκ των οποίων είναι 4 εκατοστά (εικόνα 3). Ο όγκος του υπολοιπόμενου ήπατος ανήλθε από 39% σε 62%, ένα μήνα μετά την ηπατεκτομή (εικόνα 4). Δεν έλαβε μετεγχειρητική χημειοθεραπεία. Η ασθενής εξακολουθεί να είναι ελεύθερη νόσου.
