Χαρακτηριστικά Περιστατικά
Εκτομή της 3ης & 4ης δωδεκαδακτυλικής μοίρας με σύγχρονη εκτομή της μεσότητας του αριστερού ουρητήρα για ευμέγεθες οπισθοπεριτοναϊκό GIST
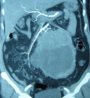
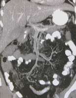
Πρόκειται για γυναίκα ασθενή 55 ετών η οποία, στα πλαίσια διερεύνησης αιμορραγίας ανώτερου πεπτικού, υποβλήθηκε σε απεικονιστικές εξετάσεις που ανέδειξαν οπισθοπεριτοναϊκό όγκο μεγέθους μεγαλύτερου των 20 cm, που εξορμούνταν από το δωδεκαδάκτυλο (εικόνα 1). Εγχειρητικά, εκτός από την εμπλοκή της 3ης & 4ης δωδεκαδακτυλικής μοίρας, διαπιστώθηκε ότι ο όγκος ενέπλεκε και τη μεσότητα του αριστερού ουρητήρα. Η παθολογοανατομική εκτίμηση του en bloc παρασκευάσματος (εικόνα 2) ανέδειξε την ύπαρξη GIST (80 μιτώσεις ανά 50 ΟΠ Χ 400). Η ανατομική αποκατάσταση πραγματοποιήθηκε με τελικο-τελική ουρητηρο-ουρητηροστομία (εικόνα 3) και πλαγιο-πλάγια δωδεκαδακτυλο-νηστιδοστομία (εικόνα 4). Η μετεγχειρητική αξονική τομογραφία ανέδειξε άθικτα μεσεντέρια αγγεία (εικόνα 5). Η ασθενής έλαβε εξιτήριο την 6η μετεγχειρητική ημέρα. Βρίσκεται σε αγωγή με Gleevec και εξακολουθεί να παραμένει ελεύθερη νόσου.
