Χαρακτηριστικά Περιστατικά
Σύγχρονη αριστερή πλάγια ηπατεκτομή και δεξιά ημικολεκτομή για αδενοκαρκίνωμα του παχέος εντέρου με μονήρη ηπατική μετάσταση
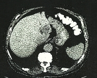
Πρόκειται για άνδρα ασθενή 80 ετών ο οποίος, στα πλαίσια διερεύνησης μικροκυτταρικής αναιμίας, διαπιστώθηκε ότι έπασχε από αδενοκαρκίνωμα του τυφλού. Η σταδιοποίηση που ακολούθησε ανέδειξε μονήρη ηπατική μετάσταση μεγέθους 4 cm (εικόνα 1). Ο ασθενής υποβλήθηκε σε σύγχρονη αριστερή πλάγια ηπατεκτομή (εικόνα 2) και δεξιά κολεκτομή (εικόνα 3). Η ιστοπαθολογική εκτίμηση των παρασκευασμάτων (εικόνα 4) επιβεβαίωσε τη διάγνωση. Έλαβε εξιτήριο την 5η μετεγχειρητική ημέρα. Ακολούθως, υποβλήθηκε σε 12 κύκλους μετεγχειρητικής χημειοθεραπείας (XELOX, Avastin). Eξακολουθεί να παραμένει ελεύθερος νόσου.
