Χαρακτηριστικά Περιστατικά
Ηπατεκτομή των τμημάτων 4b & 5 με λεμφαδενικό καθαρισμό για αδενοκαρκίνωμα της χοληδόχου κύστης
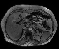
Πρόκειται για γυναίκα ασθενή 62 ετών η οποία, σε προ μηνός λαπαροσκοπική χολοκυστεκτομή (σε άλλο θεραπευτήριο), διαπιστώθηκε ότι έπασχε από χολαγγειοκαρκίνωμα της χοληδόχου κύστης. Περαιτέρω απεικονιστικός έλεγχος (MDCT, MRI) ανέδειξε υπολειμματική βλάβη στην κοίτη της χοληδόχου κύστης (εικόνα 1), καθώς και απουσία μεταστάσεων. Η ασθενής υποβλήθηκε σε λεμφαδενικό καθαρισμό της πυλαίας τριάδας (εικόνα 2) και ηπατεκτομή των τμημάτων 4b & 5 (εικόνα 3). Στο ιστολογικό παρασκεύασμα διαπιστώθηκε ότι η υπολειμματική βλάβη είχε μέγεθος 3.3 cm (εικόνα 4). Από τον ηπατοδωδεκαδακτυλικό σύνδεσμο απομονώθηκαν τέσσερεις λεμφαδένες (LNst 12a, 12b/p, 8 & 13), κανένας από τους οποίους δεν περιείχε νεοπλασματικά κύτταρα. Η ασθενής έλαβε εξιτήριο την 6η μετεγχειρητική ημέρα.
