Χαρακτηριστικά Περιστατικά
Λαπαροσκοπική (HALS) ηπατεκτομή του τμήματος 4 για ευμέγεθες ηπατικό αδένωμα
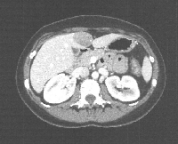
Πρόκειται για γυναίκα ασθενή 32 ετών η οποία, στα πλαίσια γυναικολογικής λαπαροσκόπησης, διαπιστώθηκε ότι έφερε στο 4ο ηπατικό τμήμα ευμεγέθη βλάβη. Η τριφασική MDCT ήπατος που ακολούθησε ανέδειξε μονήρες αδένωμα μεγέθους 5 cm σε επαφή με τον ηπατοδωδεκαδακτυλικό σύνδεσμο (εικόνα 1). Η ασθενής υποβλήθηκε σε λαπαροσκοπική (HALS) εκτομή του ηπατικού τμήματος 4b και σε χολοκυστεκτομή (εικόνα 2). Η διατομή του ηπατικού παρεγχύματος έγινε με τη χρήση αυτορυθμιζόμενης διπολικής διαθερμίας (εικόνα 3) και αυτόματου λαπαροσκοπικού αγγειακού κοπτοπάπτη (εικόνα 4). Διενεργήθηκε συμπλησίαση της επιφάνειας διατομής με τη χρήση ραμμάτων (εικόνα 5). Το παρασκεύασμα δεικνύεται στην εικόνα 6. Η ασθενής έλαβε εξιτήριο την 3η μετεγχειρητική ημέρα.
