Χαρακτηριστικά Περιστατικά
Αριστερή ηπατεκτομή και άτυπες δεξιές ηπατεκτομές για πρωτοπαθές πολυεστιακό νευροενδοκρινές νεόπλασμα του ήπατος
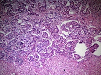
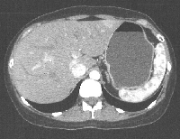
Πρόκειται για ασυμπτωματική γυναίκα ασθενή 35 ετών η οποία, στα πλαίσια διαγνωστικής γυναικολογικής λαπαροσκόπησης, διαπιστώθηκε ότι έφερε πολλαπλές ηπατικές μάζες. Η αξονική τομογραφία που ακολούθησε (εικόνα 1) ανέδειξε εμπλοκή όλων των ηπατικών τμημάτων, με τις περισσότερες βλάβες να βρίσκονται στο αριστερό ημι-ήπαρ. Διενεργήθηκε διαδερμική βιοψία της μεγαλύτερης των βλαβών που έθεσε τη διάγνωση του νευροενδοκρινούς νεοπλάσματος (0-1 μίτωση / 50 HPF και ki67 < 1%, G1). Ο έλεγχος για εύρεση πιθανής πρωτοπαθούς εστίας (MDCT κοιλίας/θώρακος, γαστροσκόπηση, κολονοσκόπηση, ενδοσκόπηση λεπτού εντέρου με καψούλα, octreotide scan) ήταν αρνητικός. Το ογκολογικό συμβούλιο αποφάνθηκε ότι πρόκειται για πρωτοπαθές πολυεστιακό νευροενδοκρινές νεόπλασμα του ήπατος. Το διεγχειρητικό υπερηχογράφημα ανέδειξε συνολικά 22 βλάβες. Για την πλήρη αφαίρεσή τους διενεργήθηκαν αριστερή ηπατεκτομή (εικόνα 2), πολλαπλές (Χ10) άτυπες μικρές δεξιές εκτομές (εικόνα 3), καθώς και μία άτυπη εκτομή του τμήματος 1 μεταξύ της πυλαίας και της κάτω κοίλης φλέβας (εικόνα 4). Το παρασκεύασμα δεικνύεται στην εικόνα 5. Η τελική παθολογοανατομική εκτίμηση του επιβεβαίωσε τα ευρήματα της πρώτηε (εικόνα 6). Η ασθενής έλαβε εξιτήριο την 7η μετεγχειρητική ημέρα. Τέθηκε σε μηνιαία αγωγή με octreotide acetate. Εξακολουθεί να είναι ελεύθερη νόσου.
