Χαρακτηριστικά Περιστατικά
Λαπαροσκοπική (HALS) μαρσιποποίηση συμπτωματικής επικρατούσας απλής ηπατικής κύστης με επιλποοπλαστική
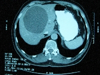
Ασθενής 61 ετών ο οποίος, στα πλαίσια διερεύνησης επιγαστραλγίας, διαπιστώθηκε ότι έπασχε από ευμεγέθη (13 cm) επικρατούσα απλή ηπατική κύστη που εδράζονταν στα ηπατικά τμήματα 4α, 5, 7 και 8 (εικόνα 1). Η κύστη παρεκτόπιζε μερικώς το δεξιό κλάδο της πυλαίας φλέβας (εικόνα 2) και εφάπτονταν με τη δεξιά ηπατική φλέβα (εικόνα 3). Ο ασθενής υποβλήθηκε σε λαπαροσκοπική (HALS) μαρσιποποίηση της ηπατικής κύστης (εικόνα 4) κατά την οποία αφαιρέθηκε > 50% του άνω και οπισθίου τοιχώματός της, μαζί με τμήμα του παρακείμενου ηπατικού παρεγχύματος (εικόνα 5). Η ταχεία ιστοπαθολογική εκτίμηση του παρασκευάσματος δεν ανέδειξε κακοήθη στοιχεία. Επιπλέον, πραγματοποιήθηκε και επιπλοοπλαστική, ύστερα από πλήρη κινητοποίηση του μείζονος επιπλόου, μεταφορά του στο δεξιό υποδιαφραγματικό χώρο και τοποθέτησή του μέσα στην υπολειμματική κυστική κοιλότητα (εικόνα 6). Ο ασθενής έλαβε εξιτήριο την 4η μετεγχειρητική ημέρα. Έκτοτε παραμένει ελεύθερος συμπτωμάτων.
