Χαρακτηριστικά Περιστατικά
Αριστερή ηπατεκτομή με ηπατικονηστιδοστομία για στένωση του διχασμού του κοινού ηπατικού πόρου και πολλαπλά ενδοπαρεγχυματικά αποστημάτια από ηπατική λιθίαση
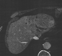
Πρόκειται για άνδρα ασθενή 70 ετών ο οποίος, στα πλαίσια διερεύνησης καθημερινών εμπύρετων επεισοδίων, διαπιστώθηκε ότι έπασχε από πολλαπλά αποστημάτια του αριστερού ηπατικού λοβού, ως συνέπεια ηπατικής λιθίασης (εικόνα 1). Επιπλέον, ο ασθενής παρουσίαζε στένωση στο διχασμό του κοινού ηπατικού πόρου (εικόνα 2) και θρόμβωση του αριστερού κλάδου της πυλαίας φλέβας. Αν και η ύπαρξη κακοήθειας δεν επιβεβαιώθηκε ιστολογικά, η ανάπτυξη χολαγγειοκαρκινώματος δεν μπορούσε να αποκλεισθεί προεγχειρητικά και έτσι ο ασθενής υποβλήθηκε σε εκτομή του χοληδόχου πόρου με λεμφαδενικό καθαρισμό (εικόνα 3) και αριστερή ηπατεκτομή με τον κερκοφόρο λοβό (εικόνα 4). Η αποκατάσταση του χοληφόρου δέντρου πραγματοποιήθηκε με τελικο-τελική ηπατικο-νηστιδική αναστόμωση (εικόνα 5) με τη χρήση οπισθοκολικής έλικας μήκους 70 cm κατά Roux en Y (εικόνα 6). Έκτοτε, ο ασθενής είναι ελεύθερος εμπύρετων επεισοδίων.
