Χαρακτηριστικά Περιστατικά
Roux en Y ηπατικονηστιδοστομία για καλοήθη στένωση του χοληδόχου πόρου
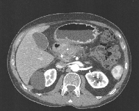
Πρόκειται για άνδρα ασθενή 67 ετών, ο οποίος, ύστερα από επεισόδιο οξείας χολολιθιασικής παγκρεατίτιδας, ανέπτυξε περιχαρακωμένες άσηπτες παγκρεατικές νεκρώσεις (WON, sterile), κυρίως στην κεφαλή του οργάνου (εικόνα 1). Κατά την επούλωση της νεκρωτικής βλάβης αναπτύχθηκε καλοήθης στένωση της ενδοπαγκρεατικής μοίρας του χοληδόχου πόρου, γεγονός που οδήγησε σε επεισόδια χολαγγειίτιδας. Η ενδοσκοπική διαστολή της στένωσης και η τοποθέτηση ενδοαυλικού stent με τη χρήση ERCP (δύο φορές) δεν ήταν λυσιτελής. Ο ασθενής οδηγήθηκε στο χειρουργείο όπου, αφού αφαιρέθηκε το stent που είχε τοποθετηθεί με την ERCP (εικόνα 2), υποβλήθηκε σε πλαγιο-τελική χοληδοχο-νηστιδική αναστόμωση (εικόνα 3) με τη χρήση οπισθοκολικής έλικας μήκους 70 cm κατά Roux en Y (εικόνα 4). Έκτοτε, ο ασθενής είναι ελεύθερος επεισοδίων χολαγγειίτιδας.
