Χαρακτηριστικά Περιστατικά
Ουραία παγκρεατεκτομή για γιγάντιο συμπαγή ψευδοηθηλώδη όγκο
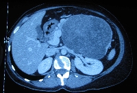
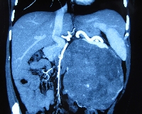
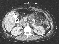
Πρόκειται για γυναίκα ασθενή 43 ετών, η οποία υποβλήθηκε σε υπερηχογράφημα άνω κοιλίας στα πλαίσια διερεύνησης άτυπων γαστρεντερικών συμπτωμάτων (αίσθημα κορεσμού και τάση προς έμετο). Διαπιστώθηκε η ύπαρξη ευμέγεθους μάζας της παγκρεατικής ουράς, διαμέτρου 22 cm, με κυστικά και συμπαγή στοιχεία. Η αξονική τομογραφία επιβεβαίωσε τα υπερηχογραφικά ευρήματα (εικόνα 1) και επιπλέον ανέδειξε το γεγονός ότι η μάζα εκτείνονταν ως το σπλήνα, ενέπλεκε το στόμαχο, τον αριστερό νεφρό, το μεσεντέριο και το παχύ έντερο και ότι έφτανε ως τα οστά της πυέλου (εικόνα 2). Εγχειρητικά, ύστερα από πολύωρη παρασκευή, η μάζα αποκολήθηκε en block από όλες τις προαναφερόμενες ανατομικές δομές (εικόνα 3) και, ύστερα από διαίρεση του παγκρεατικού παρεγχύματος στο επίπεδο του αυχένα του οργάνου, απομακρύνθηκε από το χειρουργικό πεδίο μαζί με το σπλήνα (εικόνα 4). Η ιστοπαθολογική εκτίμηση του παρασκευάσματος (εικόνα 5) ανέδειξε συμπαγή ψευδοθηλώδη όγκο, χωρίς στοιχεία κακοήθειας. Η άμεση μετεγχειρητική πορεία ήταν ανεπίπλεκτη, χωρίς την ανάπτυξη ενδοκοιλιακών συλλογών (εικόνα 6). Η ασθενής έλαβε εξιτήριο την 8η μετεγχειρητική ημέρα.
