Χαρακτηριστικά Περιστατικά
Αριστερή ηπατεκτομή και εστιακή καταστροφή με ραδιοσυχνότητες σε πρώτο χρόνο ("liver first" approach) για αδενοκαρκίνωμα του παχέος εντέρου με πολλαπλές ηπατικές μεταστάσεις
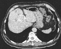
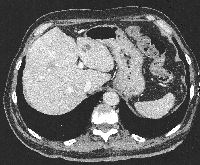
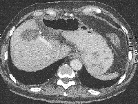
Πρόκειται για άνδρα ασθενή 67 ετών που διαπιστώθηκε ότι έπασχε από αδενοκαρκίνωμα του σιγμοειδούς με 6 συνολικά ηπατικές μεταστάσεις αμφοτερόπλευρα (εικόνες 1, 2). Η διενέργεια PET-CT δεν ανέδειξε εξωηπατική νόσο. Δεδομένου ότι ότι η πρωτοπαθής εστία δεν προκαλούσε αποφρακτικά φαινόμενα και εξαιτίας του εξαιρετικά μεγάλου καρκινικού φορτίου του ήπατος σε σχέση με αυτό το εντέρου, αποφασίστηκε η αντιμετώπιση πρώτα των μεταστάσεων ("liver first" approach). Σύμφωνα με την ανάλυση MeVis (εικόνα 3) η αριστερή ηπατεκτομή οδηγούσε σε 69% ηπατικό υπόλειμμα ενώ η αριστερή εκτεταμένη ηπατεκτομή οδηγούσε σε 28% ηπατικό υπόλειμμα (τριχασμός πυλαίας). Με βάση αυτά τα δεδομένα αποφασίστηκε η κάθαρση του ήπατος από το μεταστατικό φορτίο με ηπατεκτομή και σύγχρονη εστιακή καταστροφή με ραδιοσυχνότητες. Αρχικά, ο ασθενής υποβλήθηκε σε 8 κύκλους χημειοθεραπείας (Avastin, FOLFOX). Ακολούθησε αριστερή ηπατεκτομή, δύο σφηνοειδείς ηπατεκτομές (εικόνα 4) και εστιακή καταστροφή με ραδιοσυχνότητες του παρεγχύματος στο όριο των τμημάτων 5/8 (εικόνα 5), παρεμβάσεις που έφεραν την πλήρη κάθαρση του ηπατικού μεταστατικού φορτίου. Κατόπιν, ο ασθενής υποβλήθηκε σε ακόμα 4 κύκλους χημειοθεραπείας. Η ογκομέτρηση την 4η μετεγχειρητική εβδομάδα ήταν ικανοποιητική (εικόνα 6). Ακολούθως, ο ασθενής υποβλήθηκε σε σιγμοειδεκτομή. Τελικά, η χημειοθεραπεία ολοκληρώθηκε με άλλους 6 κύκλους. Ο ασθενής εξακολουθεί να παραμένει ελεύθερος νόσου στους τακτικούς ελέγχους (δις ετησίως) με κολονοσκοπήσεις και CT.
