Χαρακτηριστικά Περιστατικά
Αριστερή εκτεταμμένη ηπατεκτομή για ενδοηπατικό χολαγγειοκαρκίνωμα
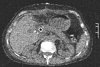
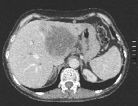
Πρόκειται για γυναίκα ασθενή 56 ετών η οποία, στα πλαίσια διερεύνησης αποφρακτικού ικτέρου, διαπιστώθηκε ότι έπασχε από μονήρες ενδοηπατικό χολαγγειοκαρκίνωμα μεγέθους 7,5 cm που οποίο καταλάμβανε τα τμήματα 1, 2, 3, 4a, 4b, 5 (μερικώς) και 8 (μερικώς), διηθούσε την αριστερή και τη μέση ηπατική φλέβα, είχε προκαλέσει θρόμβωση του αριστερού κλάδου της πυλαίας φλέβας και εφίππευε στο δεξιό κλάδο της πυλαίας φλέβας (εικόνα 1). Η άρση της χολόστασης προεγχειρητικά επιτεύχθηκε με ERCP και τοποθέτηση stent δεξιού χοληδόχου πόρου. Πραγματοποιήθηκε προεγχειρητική ηπατική ογκομέτρηση με ανάλυση MeVis (εικόνα 2). Διεγχειρητικά εξασφαλίστηκε η δυνατότητα ολικού αγγειακού αποκλεισμού (εικόνα 3). Διενεργήθηκε αριστερή εκτεταμμένη ηπατεκτομή. Ο όγκος αφαιρέθηκε πλήρως, με άθικτη κάψα (εικόνα 4). Το ηπατικό υπόλειμμα ανήλθε στο 31% του αρχικού όγκου του οργάνου (εικόνα 5). Η ογκομετρική CT την 4η μετεγχειρητική εβδομάδα ήταν ικανοποιητική (εικόνα 6). Η ασθενής πήρε εξιτήριο την 7η μετεγχειρητική ημέρα. Έλαβε μετεγχειρητική χημειοθεραπεία (GEMOX).
