Χαρακτηριστικά Περιστατικά
Ηπατεκτομή κατά στάδια σε πρώτο χρόνο ("liver first" staged hepatectomy) για αδενοκαρκίνωμα του παχέος εντέρου με πολλαπλές ηπατικές μεταστάσεις
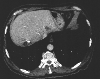
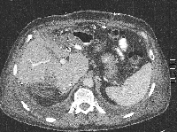
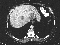
Πρόκειται για ασθενή 75 ετών που διαπιστώθηκε ότι έπασχε από αδενοκαρκίνωμα του σιγμοειδούς με 15 συνολικά ηπατικές μεταστάσεις αμφοτερόπλευρα (εικόνα 1). Η διενέργεια PET-CT δεν ανέδειξε εξωηπατική νόσο. Δεδομένου ότι η πρωτοπαθής εστία τέθηκε υπό προσωρινό έλεγχο με πολυπεκτομή, αποφασίστηκε η αντιμετώπιση πρώτα των μεταστάσεων ("liver first" approach). Με βάση τις εικονικές ηπατεκτομές κατά MEVIS (εικόνα 2) αποφασίστηκε η κάθαρση του ήπατος από το μεταστατικό φορτίο σε δύο στάδια (staged hepatectomy). Ο ασθενής υποβλήθηκε σε 6 κύκλους χημειοθεραπείας (Avastin, FOLFOX). Ακολούθησε δεξιά ηπατεκτομή (εικόνα 3). Κατόπιν υποβλήθηκε σε ακόμα 4 κύκλους χημειοθεραπείας. Η ογκομέτρηση την 4η μετεγχειρητική εβδομάδα ήταν ικανοποιητική (εικόνα 4). Ακολούθησε αριστερή πλάγια ηπατεκτομή (εικόνα 5), η οποία και έφερε την κάθαρση του ηπατικού μεταστατικού φορτίου. Η νέα ογκομέτρηση την 4η μετεγχειρητική εβδομάδα ήταν ξανά ικανοποιητική (εικόνα 6). Συνεχίστηκε η χημειοθεραπεία για ακόμα 4 κύκλους. Ακολούθως, ο ασθενής υποβλήθηκε σε σιγμοειδεκτομή. Τελικά, η χημειοθεραπεία ολοκληρώθηκε με άλλους 6 κύκλους. Ο ασθενής εξακολουθεί να παραμένει ελεύθερος νόσου στους τακτικούς ελέγχους (δις ετησίως) με κολονοσκοπήσεις και CT.
