Χαρακτηριστικά Περιστατικά
Αριστερή πλάγια επανηπατεκτομή (redo hepatectomy) για αδενοκαρκίνωμα αγνώστου πρωτοπαθούς εστίας
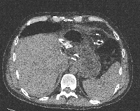
Πρόκειται για άνδρα ασθενή 45 ετών ο οποίος πριν από ένα χρόνο υποβλήθηκε σε κεντρική ηπατεκτομή για αδενοκαρκίνωμα αγνώστου πρωτοπαθούς εστίας. Έξι μήνες μετά την αρχική ηπατεκτομή και αφού είχε ολοκληρώσει τη μετεγχειρητική χημειοθεραπεία, διαπιστώθηκε ότι έφερε νέα μάζα στο 2ο και 3ο ηπατικό τμήμα (εικόνα 1), μακριά από το σημείο της πρώτης επέμβασης. Για άλλη μία φορά ο εκτεταμμένος έλεγχος (ενδοσκοπήσεις, αξονικές και μαγνητικές τομογραφίες, PET-CT scan) δεν ανέδειξε πρωτοπαθή εστία. Υποβλήθηκε σε έξι νέους κύκλους προεγχειρητικής χημειοθεραπείας (neoadjuvant) που οδήγησαν σε μερική ανταπόκριση. Πέντε εβδομάδες μετά τον τελευταίο χημειοθεραπευτικό κύκλο υποβλήθηκε σε αριστερή πλάγια επανηπατεκτομή (redo hepatectomy). Η μάζα αφαιρέθηκε in toto, σε υγιή όρια ηπατικού παρεγχύματος (εικόνα 2) αλλά με περιθώριο εκτομής μικρότερο του ενός cm. Για το λόγο αυτό εφαρμόστηκε εστιακή παρεγχυματική καταστροφή της επιφάνειας διατομής με μικροκύματα (εικόνα 3). Το εγχειρητικό πεδίο μετά την απομάκρυνση του παρασκευάσματος φαίνεται στην εικόνα 4. Την 5η μετεγχειρητική ημέρα πραγματοποιήθηκε αξονική τομογραφία που δεν ανέδειξε παθολογικά ευρήματα (εικόνα 5). Ο ασθενής έλαβε εξιτήριο την 6η μετεγχειρητική ημέρα.
