Χαρακτηριστικά Περιστατικά
Δεξιά εκτεταμμένη ηπατεκτομή για ηπατοκυτταρικό καρκίνο, ύστερα από εμβολισμό της δεξιάς πυλαίας φλέβας
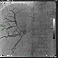
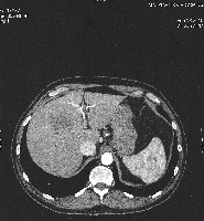
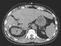
Πρόκειται για άνδρα ασθενή 50 ετών που υποβλήθηκε σε υπέρηχο άνω κοιλίας στα πλαίσια προληπτικού ελέγχου, ο οποίος ανέδειξε ογκόμορφη εξεργασία του ήπατος. Ακολούθησε αξονική τομογραφία, κατά την οποία διαπιστώθηκε μάζα μεγέθους 7 εκατοστών στα ηπατικά τμήματα 4a, 5 και 8 (εικόνα 1) που διηθούσε τη δεξιά και τη μέση ηπατική φλέβα. Επιπλέον, ανιχνεύθηκαν υψηλά επίπεδα α-Fp. Τέθηκε η διάγνωση του ηπατοκυτταρικού καρκινώματος σε έδαφος φυσιολογικού ηπατικού παρεγχύματος. Η ογκομέτρηση των τμημάτων 1, 2 και 3 ανέδειξε προβλεπόμενο σχετικό όγκο ηπατικού υπολείμματος 13,5%. Ο ασθενής υποβλήθηκε σε δεξιό πυλαίο εμβολισμό (εικόνα 2). Τέσσερεις εβδομάδες αργότερα, υποβλήθηκε σε ανάλυση MEVIS, σύμφωνα με την οποία αποφασίστηκε η διενέργεια δεξιάς εκτεταμένης (parenchymal sparing, anterior approach) ηπατεκτομής με προβλεπόμενο σχετικό όγκο ηπατικού υπολείμματος 37,2%. Πέντε εβδομάδες μετά τον πυλαίο εμβολισμό, ο ασθενής υποβλήθηκε στην προαναφερόμενη ηπατεκτομή (εικόνες 4, 5). Έλαβε εξιτήριο την 7η μετεγχειρητική ημέρα. Στην εικόνα 6 παρουσιάζεται το αναγεννώμενο ηπατικό υπόλειμμα, 15 ημέρες μετά την επέμβαση.
