Χαρακτηριστικά Περιστατικά
Κεντρική ηπατεκτομή για ενδοηπατικό χολαγγειοκαρκίνωμα
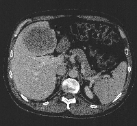
Πρόκειται για άνδρα ασθενή 44 ετών, ο οποίος υποβλήθηκε σε αξονική τομογραφία άνω κοιλίας στα πλαίσια διερεύνησης επιγαστραλγίας. Βρέθηκε μάζα στο 4ο, 5ο και 8ο ηπατικό τμήμα (εικόνα 1). Δε διαπιστώθηκαν σημεία κίρρωσης. Η διερεύνηση για πιθανή πρωτοπαθή εστία εκτός ήπατος ήταν αρνητική. Τέθηκε η διάγνωση της πρωτοπαθούς ηπατικής μάζας (HCC vs CCa). Η εικονική αριστερή εκτεταμμένη ηπατεκτομή με ανάλυση MEVIS (εικόνα 2) οδήγησε σε ηπατικό κολόβωμα μεγέθους 30% του αρχικού, ποσοστό που κρίθηκε ανεπαρκές. Η εικονική κεντρική ηπατεκτομή με ανάλυση MEVIS (εικόνα 3) οδήγησε σε ηπατικό κολόβωμα μεγέθους 65% του αρχικού, ποσοστό που κρίθηκε ικανοποιητικό. Για το λόγο αυτό, ο ασθενής υποβλήθηκε σε κεντρική (parenchymal sparing) ηπατεκτομή (εικόνα 4). Tο παρασκεύασμα αποτελούνταν από τα ηπατικά τμήματα 4b, 5, 8- και τη χοληδόχο κύστη (εικόνα 5). Η διατομή του (εικόνα 6) ανέδειξε μάζα μεγέθους 9 εκατοστών με κάψα, η οποία αφαιρέθηκε άθικτη. Τα ιστολογικά χαρακτηριστικά του όγκου (CK7+, CK19+, CK20-) ήταν συμβατά με CCa (mass forming). Ο ασθενής έλαβε εξιτήριο τη 10η μετεγχειρητική ημέρα.
