Χαρακτηριστικά Περιστατικά
Υφολική γαστρεκτομή και ηπατική τμηματεκτομή για γαστρικό αδενοκαρκίνωμα
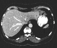
Πρόκειται για γυναίκα ασθενή 57 ετών, η οποία υποβλήθηκε σε γαστροσκόπηση για άτυπα γαστρεντερικά συμπτώματα. Διαπιστώθηκε επίπεδη βλάβη στην περιοχή του ελάσσονος τόξου στο σώμα του στομάχου. Από την ιστολογική εξέταση της συγκεκριμένης περιοχής διαπιστώθηκε γαστρικό αδενοκαρκίνωμα. Επιπλέον, η αξονική τομογραφία σταδιοποίησης ανέδειξε, στο 2ο ηπατικό τμήμα, ενδοπαρεγχυματική μονήρη μάζα μεγέθους 1 cm, παρακειμένως της γαστρικής βλάβης (εικόνα 1). Η ασθενής υποβλήθηκε σε υφολική γαστρεκτομή και σε en bloc εκτομή του 2ου ηπατικού τμήματος. Διενεργήθηκε λεμφαδενικός καθαρισμός (εικόνα 2) του τρίποδα του Haller (LNst 9), της αριστερής γαστρικής (LNst 7) και της ηπατικής αρτηρίας (LNst8). Επιπλέον, η άνω μεσο-εγκάρσια περιτονία (η καλύπτουσα την άνω παγκρεατική επιφάνεια) συμπεριλήφθηκε στο παρασκεύασμα (εκτομή D2). Πραγματοποιήθηκε εντερική αποκατάσταση κατά Billroth II (εικόνα 3). Η ασθενής έλαβε εξιτήριο τη 10η μετεγχειρητική ημέρα.
