Χαρακτηριστικά Περιστατικά
Παγκρεατική νεκροσεκτομή για επιμολυσμένο παγκρεατικό νέκρωμα
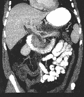
Πρόκειται για άνδρα ασθενή 41 ετών που διαπιστώθηκε να πάσχει από επιμολυσμένο παγκρεατικό νέκρωμα (infected Walled-Off Necrosis – WON), το οποίο αναπτύχθηκε ως μετεξέλιξη επεισοδίου χολολιθιασικής νεκρωτικής παγκρεατίτιδας. Η παγκρεατική νέκρωση (ποσοστό > 70%) προκαλούσε στένωση της πυλαίας με συνοδό διάταση της στεφανιαίας φλέβας (εικόνα 1). Υποβλήθηκε στις νεκροσεκτομή, επιπλοοπλαστική και χολοκυστεκτομή. Κατά τη διάρκεια της επέμβασης διαπιστώθηκε νέκρωση στην κεφαλή, το σώμα και την ουρά του παγκρέατος (εικόνα 2). Η περιοχή εκπλύθηκε με τη χρήση Simpulse Suction/Irrigation System (Stryker) και 6 lt RL (εικόνα 3). Τοποθετήθηκαν παροχετεύσεις στον ελάσσονα επιπλοϊκό θύλακο, στη δεξιά και αριστερή κολική αύλακα (εικόνα 4). Πραγματοποιήθηκε επιπλοοπλαστική κατά Farkas (εικόνα 5). Τα παρασκευάσματα (παγκρεατικά νεκρώματα, τμήμα του μείζονος επιπλόου και χοληδόχος κύστη) παρουσιάζονται στην εικόνα 6. Ο ασθενής έλαβε εξιτήριο τη 18η μετεγχειρητική ημέρα, στιζόμενος κανονικά, χωρίς πόνο και με φυσιολογικές εργαστηριακές τιμές (λευκά αιμοσφαίρια, αμυλάση ορού, κτλ).
