Χαρακτηριστικά Περιστατικά
Δεξιά πλάγια ηπατεκτομή για συμπτωματικό φλεγμονώδη ψευδοόγκο
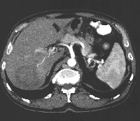
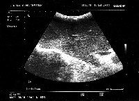
Πρόκειται για άνδρα ασθενή 50 ετών, ο οποίος υποβλήθηκε σε αξονική τομογραφία άνω κοιλίας στα πλαίσια διερεύνησης πυρετού αγνώστου αιτιολογίας. Βρέθηκε μάζα στο 6ο και 7ο ηπατικό τμήμα (εικόνα 1). Δε διαπιστώθηκε κίρρωση. Η διερεύνηση για πιθανή πρωτοπαθή εστία εκτός ήπατος ήταν αρνητική. Τέθηκε η διάγνωση της πρωτοπαθούς ηπατικής μάζας (HCC vs CCa vs άλλη). Οδηγήθηκε στο χειρουργείο και ύστερα από διενέργεια διεγχειρητικού υπερήχου για καθορισμό του επιπέδου ηπατικής διατομής (εικόνα 2), υποβλήθηκε σε δεξιά πλάγια ηπατεκτομή (εικόνα 3). Το ηπατικό κολόβωμα (εικόνα 4) υπολογίστηκε στο 72% του αρχικού μεγέθους του οργάνου. Στο παρασκεύασμα (εικόνα 5) βρέθηκε μάζα μεγέθους 6,5 εκατοστών με ιστολογικά χαρακτηριστικά φλεγμονώδους ψευδοόγκου. Ο ασθενής έλαβε εξιτήριο την 6η μετεγχειρητική ημέρα. Έκτοτε παραμένει ασυμπτωματικός (απύρετος).
