Χαρακτηριστικά Περιστατικά
Αριστερή ηπατεκτομή με ηπατικονηστιδοστομία για χολαγγειοκαρκίνωμα τύπου Klatskin
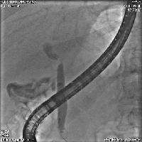
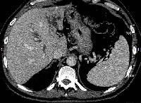
Πρόκειται για άνδρα ασθενή 62 ετών, ο οποίος υποβλήθηκε σε αξονική τομογραφία (εικόνα 1) για άτυπα γαστρεντερικά συμπτώματα και υπερχολερυθριναιμία. Διαπιστώθηκε μάζα μεγέθους 2,5 cm στον αριστερό (τμήμα 4) λοβό του ήπατος, η οποία εξορμούνταν από το χοληφόρο δένδρο, καταλάμβανε τη συμβολή του δύο ηπατικών πόρων, καθώς και το κεντρικό στέλεχος του αριστερού ηπατικού πόρου (χολαγγειοκαρκίνωμα τύπου Klatskin IIIB). Διενεργήθηκε ERCP (εικόνα 2) για τοποθέτηση παροχετευτικού stent και διόρθωση της υπερχολερυθριναιμίας. Υποβλήθηκε σε τυπική αριστερή ηπατεκτομή (τμήματα 1, 2, 3 και 4), εκτομή του εξωηπατικού χοληφόρου δένδρου έως τη Β' διαίρεση του δεξιού ηπατικού πόρου (εικόνα 3), καθώς και σε πλήρη λεμφαδενικό καθαρισμό του ηπατοδωδεκαδακτυλικού συνδέσμου (st 12A και st 12B). Η εντερική αποκατάσταση διενεργήθηκε με ηπατικονηστιδοστομία και με έλικα Roux μήκους 60 cm (εικόνα 4). Μετά την 4η μετεγχειρητική εβδομάδα, δόθηκε χημειοθεραπεία βασιμένη στο gemcitabine. Ο ασθενής παραμένει ελεύθερος νόσου.
